Uptown Dental Smile Gallery
Dr. Hung Vu, the best dentist in Albert Lea, MN proudly presents his Smile Gallery.

Great smile… healthy teeth! Our first priority is your overall dental health. You may just need a scheduled cleaning and an exam – or you might need an implant or a root canal. Either way, we will provide you with the best treatment available. You can feel confident that your smile will be healthy and look great!
This is a collection of Hung Vu’s before and after smiles. Uptown Dental would love to have the opportunity to add your smile to this collection.
Just click on a picture to enlarge it and see the full details.
Left – Dark Vital tooth to Direct Composite Resin Veneers
Middle – 8 Conservative Composite Veneers replacing 15 year old Composite Veneers.
Right – After Esthetic Bonded Bridges
Left – Baby tooth upper right removed
Middle – Before Esthetic Bonded Bridges
Right – Conservative Direct Resin Veener on Young Patient
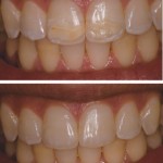
Left – Cosmetic Tooth Whitening
Middle – Dark and worn teeth to Direct Composite Resin Veneers
Right – Crowded and mishapen teeth corrected using Direct Composite Resin Veneers.
Left – From deficient in size and contour to Direct Composite Resin Additions
Middle – Excess Tissue removed using the Laser and Whitening
Right – Oversized/Unesthetic crown (left central)Discolored Incisor (right central) to All Ceramic
Crown (left central) Direct Resin Veneer (right central)
Left – Restored discoloration with Direct Resin
Middle – Restored fracture with Direct Resin
Right – Spaces and Worn edges fixed with Conservative Minimal Prep Ceramic Veneers
Left – Tooth Whitening, Tissue and Enamel Reshaping, Conservative Direct Resin Veneers
Middle – Unesthetic Crowns & Translucent Laterals treated with Direct Resin Veneers & All Ceramic Crowns
Right – Various discoloration throughout to Direct Composite Resin Veneers
Left – Full Mouth rehabilitation with All-Ceramic Crowns and Ceramic Veneers
2nd Left – Severely worn and collapsed dentition
3rd Right – Excess tissue covering teeth and discolorations to Conserative Direct Resin Veneers
4th Right – Pins present and restorations visible to Invisible Direct Resin Restorations





















